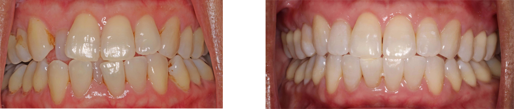
You don’t have to just dream about the smile you want, you can have it! We have a variety of options that will put a beautiful smile on your face. We offer dental implants for a complete smile, veneers to alter your smile in only a few visits, and Invisalign® to straighten teeth. For teeth whitening, Sonora patients can see the amazing results even faster!
The Great Smile You Deserve!
Interested in learning more about how the latest advances in cosmetic dentistry can makeover your smile? Call us for a no-cost/no-obligation consultation at 209-532-2915.












